
Family Dental Care

Family Dental Care
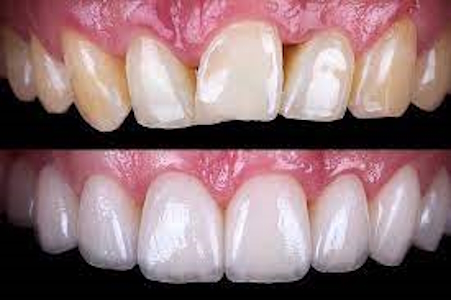
A bright, even smile can boost your confidence and enhance your appearance. If you have chipped, stained, or misaligned teeth, dental veneers offer an effective and natural-looking solution. Here’s what you need to know about dental veneers, their benefits, and the treatment process.
Dental veneers are thin shells made of porcelain or composite resin that cover the front surface of teeth. They are custom-made to match the shape, size, and color of your natural teeth, providing a seamless and aesthetically pleasing look. Veneers are bonded to the tooth surface, improving the appearance of teeth that are discolored, worn, chipped, or unevenly spaced.
Enhanced Appearance: Veneers improve the color, shape, and alignment of your teeth, giving you a more attractive smile.
Durability: Porcelain veneers are highly durable and can last for many years with proper care.
Stain Resistance: Porcelain veneers resist stains better than natural teeth, maintaining their bright appearance.
Minimally Invasive: The procedure requires minimal tooth preparation compared to crowns.
Quick Results: Veneers offer a fast way to transform your smile, typically within two visits.
Consultation and Evaluation: Your dentist will assess your oral health, discuss your goals, and determine if veneers are suitable for you.
Tooth Preparation: A small amount of enamel is removed from the tooth surface to create space for the veneers. This step is essential for a natural fit and appearance.
Impressions and Fabrication: Impressions of your teeth are taken and sent to a dental lab, where custom veneers are crafted to match your smile.
Bonding: Once the veneers are ready, your dentist will check their fit and appearance before bonding them to your teeth using a strong adhesive.
Caring for dental veneers is simple. Brush twice daily with a non-abrasive toothpaste, floss regularly, and avoid biting hard objects like ice or pencils. Regular dental check-ups help ensure your veneers stay in excellent condition.
Dental veneers are ideal for individuals looking to enhance their smile with minimal dental work. They are suitable for correcting discoloration, minor misalignments, and chipped or worn teeth. However, they may not be recommended for individuals with severe tooth decay, gum disease, or teeth grinding habits.
Dental veneers offer a quick and effective way to achieve a beautiful, confident smile. If you’re considering this cosmetic treatment, schedule a consultation with your dentist to determine if veneers are the right option for you. With proper care, dental veneers can provide a long-lasting and stunning smile that you’ll be proud to show off.