Understanding Gum Disease: Causes, Symptoms, Prevention, and Treatment
Gum disease, also known as periodontal disease, is a common condition that affects the tissues surrounding and supporting your teeth. While often preventable, untreated gum disease can lead to serious oral health problems, including tooth loss. This article explores the causes, symptoms, prevention strategies, and treatment options for gum disease to help you maintain a healthy smile.
What is Gum Disease?
Gum disease is an inflammatory condition caused by plaque—a sticky film of bacteria that forms on teeth. It progresses in two stages:
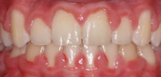
Gingivitis: The earliest stage, characterized by red, swollen, and bleeding gums.
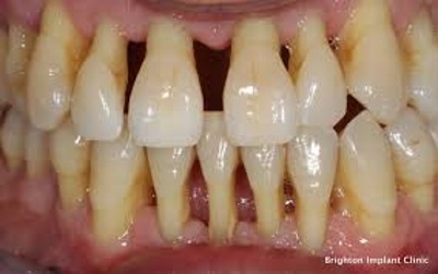
Periodontitis: An advanced stage where the infection spreads below the gum line, damaging the bone and tissues that support the teeth.
Causes of Gum Disease
Several factors contribute to the development of gum disease:
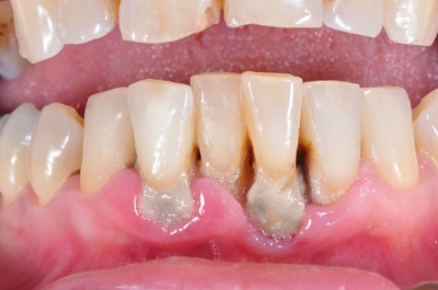
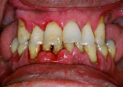
Poor Oral Hygiene: Inadequate brushing and flossing allow plaque and tartar to accumulate, leading to gum irritation and infection.
Smoking and Tobacco Use: Tobacco weakens the immune system, making it harder to fight off gum infections.
Hormonal Changes: Fluctuations during pregnancy, menstruation, and menopause can increase gum sensitivity and vulnerability.
Genetics: A family history of periodontal disease can raise your risk.
Chronic Conditions: Diseases like diabetes and rheumatoid arthritis can increase susceptibility to gum disease.
Medications: Certain drugs, such as those that reduce saliva flow, can contribute to gum problems by creating a dry environment in the mouth.
Signs and Symptoms
Early detection of gum disease is essential for effective treatment. Watch for the following signs:
Red, swollen, or tender gums
Gums that bleed during brushing or flossing
Persistent bad breath or a bad taste in the mouth
Receding gums, making teeth appear longer
Loose or shifting teeth
Pain when chewing
Prevention Tips
Preventing gum disease requires consistent oral care and healthy habits. Here’s how you can protect your gums:
Practice Good Oral Hygiene: Brush your teeth twice a day with fluoride toothpaste and use dental floss daily to remove plaque from between teeth and along the gum line.
Schedule Regular Dental Check-Ups: Visit your dentist at least twice a year for professional cleanings and exams. Early intervention can prevent gum disease from progressing.
Avoid Tobacco: Quit smoking and avoid tobacco products to improve gum health.
Eat a Balanced Diet: Consume a diet rich in vitamins and minerals, particularly vitamin C and calcium, to support healthy gums.
Manage Underlying Health Conditions: Control chronic diseases, such as diabetes, which can contribute to gum problems.
Treatment Options
If gum disease develops, several treatments can restore gum health depending on the severity:
Professional Cleaning: A routine dental cleaning removes plaque and tartar buildup above and below the gum line.
Scaling and Root Planing: This deep-cleaning procedure smooths the root surfaces and removes bacteria from periodontal pockets, promoting gum reattachment.
Medications: Antibiotics or antiseptic mouthwashes may be prescribed to reduce infection and inflammation.
Surgical Treatments:
Flap Surgery: Removes tartar from deep pockets and secures gums tightly around the teeth.
Bone and Tissue Grafts: Repairs damaged bone or gum tissue to support teeth.
The Importance of Early Intervention
Gum disease is often painless in its early stages, making it easy to overlook. However, ignoring the signs can lead to severe complications, including tooth loss and systemic health issues like heart disease. Regular dental visits are crucial for catching and addressing gum problems before they escalate.
Conclusion
Gum disease is a preventable and treatable condition that requires attention and care. By maintaining good oral hygiene, adopting healthy lifestyle habits, and seeking professional dental care, you can protect your gums and enjoy a lifetime of healthy smiles. If you suspect any symptoms of gum disease, schedule a visit with your dentist promptly to address the issue and preserve your oral health.
