
Understanding Worn Out Teeth: Causes, Prevention, and Treatment
Worn out teeth, also known as dental wear or tooth wear, is a common issue that affects people of all ages. Over time, the outer layer of the teeth, called enamel, can wear away due to various factors, leaving teeth vulnerable to sensitivity, damage, and other oral health problems. This article provides an overview of the causes, signs, prevention strategies, and treatment options for worn-out teeth.
What Are Worn Out Teeth?
Tooth wear occurs when the enamel erodes, exposing the softer dentin layer beneath. Unlike bones, enamel does not regenerate, making the prevention and management of tooth wear crucial for maintaining oral health.
Tooth wear is generally categorized into three types:
Attrition: Caused by tooth-to-tooth contact, such as grinding or clenching (bruxism).
Abrasion: Resulting from external forces like aggressive brushing or using a hard toothbrush.
Erosion: Due to acid attacks from dietary or gastric sources.
Causes of Worn Out Teeth
Understanding the root causes of tooth wear can help in preventing further damage. Common causes include:
Bruxism (Teeth Grinding): Habitual grinding or clenching of teeth, often during sleep, can cause enamel to wear down over time.
Poor Oral Habits: Using teeth to open bottles, bite nails, or chew on hard objects can lead to mechanical wear.
Dietary Choices: Frequent consumption of acidic foods and drinks, such as citrus fruits, sodas, and vinegar-based products, can erode enamel.
Acid Reflux and Medical Conditions: Conditions like GERD or bulimia expose teeth to stomach acids, causing erosion.
Improper Brushing Techniques: Brushing too hard or using abrasive toothpaste can lead to enamel loss.
Aging: Natural wear and tear over the years can contribute to enamel thinning.

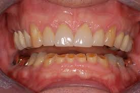
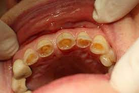
Signs and Symptoms of Worn Out Teeth
Detecting tooth wear early can prevent more serious complications. Look out for:
Increased tooth sensitivity to hot, cold, or sweet foods.
Visible flattening or chipping of teeth.
Rough or sharp edges on teeth.
Yellowish appearance due to exposed dentin.
Difficulty chewing or discomfort during eating.
How to Prevent Worn Out Teeth
Preventive care is key to protecting your enamel and overall oral health. Here are some effective strategies:
Use a Soft-Bristled Toothbrush: Gentle brushing with a soft-bristled toothbrush minimizes abrasion.
Adopt Proper Brushing Techniques: Brush with light pressure in circular motions to avoid enamel damage.
Limit Acidic Foods and Drinks: Reduce the consumption of citrus fruits, carbonated beverages, and other acidic items. Rinse your mouth with water after consuming acidic foods.
Wear a Nightguard: If you grind your teeth at night, a custom-fitted nightguard can protect against attrition.
Stay Hydrated: Drinking plenty of water helps neutralize acids and maintain saliva flow, which protects enamel.
Visit Your Dentist Regularly: Routine check-ups allow your dentist to detect and address early signs of tooth wear.
Treatment Options for Worn Out Teeth
The appropriate treatment depends on the severity of tooth wear and its underlying cause. Common treatments include:
Fluoride Treatments: Strengthen enamel and reduce sensitivity with fluoride varnishes or toothpaste.
Dental Bonding: Composite resin can restore worn areas and improve the appearance of teeth.
Crowns and Veneers: For extensive wear, crowns or veneers can cover and protect damaged teeth.
Occlusal Therapy: Addressing bruxism through bite adjustment or the use of a nightguard.
Lifestyle Modifications: Managing acid reflux, improving diet, and adopting healthier oral habits can prevent further wear.
The Importance of Early Intervention
Ignoring worn out teeth can lead to serious complications, including tooth fractures, infections, and even tooth loss. Early intervention not only preserves your natural teeth but also enhances your comfort and confidence.
Conclusion
Worn out teeth may be a natural consequence of aging or the result of lifestyle factors, but they are preventable and treatable with proper care. By understanding the causes, practicing good oral hygiene, and seeking timely professional advice, you can protect your teeth and enjoy a healthy, radiant smile for years to come. If you’re experiencing symptoms of tooth wear, consult your dentist to discuss the best course of action for your oral health.